LOGIN
JOIN
병원소개
의료진소개
둘러보기
진료시간/오시는길
쌍꺼풀
최소절개
자연유착법
절개법
재수술
눈매교정
눈매교정
트임성형
앞트임/윗트임
뒷트임/밑트임
눈밑지방재배치
눈밑
지방 재배치
중년눈성형
상안검성형술
하안검성형술
내시경이마거상술
내시경이마거상술
안티에이징
실리프팅
지방이식
브이로리프팅
쁘띠성형
필러
보톡스
스킨부스터
리쥬란&리쥬란HB
커뮤니티
공지사항
이벤트
성형모델모집
전후사진
온라인상담
멤버십
LOGIN
JOIN
오시는길
전화예약
TOP
빠른상담신청
분류
눈성형
지방이식
스킨케어
안면윤곽
안티에이징
기타
개인정보 수집 및 이용에 동의
Total 84건
1 페이지
게시판 검색
84
LOGIN
BEFORE
AFTER
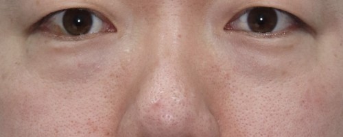
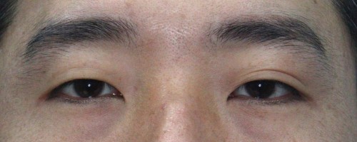
재수술: 쌍꺼풀(절개)+눈매교정+앞트임
작성자
아이본성형외과
작성일
10-16
조회
42
83
LOGIN
BEFORE
AFTER
하안검+수프리프팅+외안각고정술
작성자
아이본성형외과
작성일
10-16
조회
8
82
LOGIN
BEFORE
AFTER
재수술 : 쌍꺼풀(최소절개)+윗트임
작성자
아이본성형외과
작성일
10-16
조회
25
81
LOGIN
BEFORE
AFTER
눈썹하거상술 + 쌍꺼풀(최소절개)
작성자
아이본성형외과
작성일
10-16
조회
6
80
LOGIN
BEFORE
AFTER
재수술 : 쌍꺼풀(절개)눈밑지방재배치+미세지방이식
작성자
아이본성형외과
작성일
10-16
조회
5
79
LOGIN
BEFORE
AFTER
쌍꺼풀(절개)+눈매교정+윗트임
작성자
아이본성형외과
작성일
10-16
조회
7
78
LOGIN
BEFORE
AFTER
쌍꺼풀(절개)+눈매교정+윗트임
작성자
아이본성형외과
작성일
10-16
조회
10
77
LOGIN
BEFORE
AFTER
눈밑지방재배치+미세지방이식쌍꺼풀(오른쪽 내측 1point 매몰)
작성자
아이본성형외과
작성일
10-16
조회
9
76
LOGIN
BEFORE
AFTER
재수술 (쌍꺼풀 : 부분절개)앞트임
작성자
아이본성형외과
작성일
10-16
조회
5
75
LOGIN
BEFORE
AFTER
쌍꺼풀(절개)+눈매교정+윗트임
작성자
아이본성형외과
작성일
10-16
조회
9
74
LOGIN
BEFORE
AFTER
쌍꺼풀(절개)+눈매교정+윗트임
작성자
아이본성형외과
작성일
10-16
조회
11
73
LOGIN
BEFORE
AFTER
내시경이마거상술+눈썹하거상술
작성자
아이본성형외과
작성일
10-16
조회
6
72
LOGIN
BEFORE
AFTER
안검구축(눈매과교정풀기)
작성자
아이본성형외과
작성일
10-16
조회
3
71
LOGIN
BEFORE
AFTER
쌍꺼풀(절개)
작성자
아이본성형외과
작성일
10-16
조회
3
70
LOGIN
BEFORE
AFTER
쌍꺼풀(절개)+눈매교정+앞트임
작성자
아이본성형외과
작성일
10-16
조회
6
열린
1
페이지
2
페이지
3
페이지
4
페이지
5
페이지
6
페이지
맨끝
검색
검색대상
제목
내용
제목+내용
글쓴이
글쓴이(코)
검색어
필수
검색
닫기
전화예약
분류
눈성형
지방이식
스킨케어
안면윤곽
안티에이징
기타
개인정보 수집 및 이용에 동의