LOGIN
JOIN
병원소개
의료진소개
둘러보기
진료시간/오시는길
쌍꺼풀
최소절개
자연유착법
절개법
재수술
눈매교정
눈매교정
트임성형
앞트임/윗트임
뒷트임/밑트임
눈밑지방재배치
눈밑
지방 재배치
중년눈성형
상안검성형술
하안검성형술
내시경이마거상술
내시경이마거상술
안티에이징
실리프팅
지방이식
브이로리프팅
쁘띠성형
필러
보톡스
스킨부스터
리쥬란&리쥬란HB
커뮤니티
공지사항
이벤트
성형모델모집
전후사진
온라인상담
멤버십
LOGIN
JOIN
오시는길
전화예약
TOP
빠른상담신청
분류
눈성형
지방이식
스킨케어
안면윤곽
안티에이징
기타
개인정보 수집 및 이용에 동의
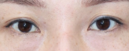
Total 84건
3 페이지
게시판 검색
54
LOGIN
BEFORE
AFTER
쌍꺼풀(절개) + 윗트임
작성자
아이본성형외과
작성일
10-16
조회
5
53
LOGIN
BEFORE
AFTER
눈썹하 거상술 + 상안검(최소절개)
작성자
아이본성형외과
작성일
10-16
조회
1
52
LOGIN
BEFORE
AFTER
쌍꺼풀(부분절개)+눈매교정+앞트임+윗트임
작성자
아이본성형외과
작성일
10-16
조회
1
51
LOGIN
BEFORE
AFTER
상안검(절개)+눈매교정/듀얼트임
작성자
아이본성형외과
작성일
10-16
조회
5
50
LOGIN
BEFORE
AFTER
상안검(절개)+눈매교정/듀얼트임
작성자
아이본성형외과
작성일
10-16
조회
5
49
LOGIN
BEFORE
AFTER
재수술 부분절개+앞트임 (5개월)
작성자
아이본성형외과
작성일
10-29
조회
54
48
LOGIN
BEFORE
AFTER
절개+눈매교정+앞트임+(오른쪽)윗트임
작성자
아이본성형외과
작성일
08-29
조회
39
47
LOGIN
BEFORE
AFTER
(남자눈성형)부분절개+눈매교정
작성자
아이본성형외과
작성일
08-29
조회
18
46
LOGIN
BEFORE
AFTER
절개+윗트임
작성자
아이본성형외과
작성일
08-29
조회
38
45
LOGIN
BEFORE
AFTER
하안검지방재배치+수프리프팅
작성자
아이본성형외과
작성일
08-29
조회
22
44
LOGIN
BEFORE
AFTER
하안검지방재배치+수프리프팅
작성자
아이본성형외과
작성일
08-29
조회
18
43
LOGIN
BEFORE
AFTER
(남자눈성형)절개+눈매교정+앞트임
작성자
아이본성형외과
작성일
08-19
조회
12
42
LOGIN
BEFORE
AFTER
하안검지방재배치+지방이식
작성자
아이본성형외과
작성일
06-18
조회
20
41
LOGIN
BEFORE
AFTER
하안검지방재배치+수프리프팅+외안각고정술
작성자
아이본성형외과
작성일
06-18
조회
11
40
LOGIN
BEFORE
AFTER
재수술 하안검+수프리프팅+외안각고정술
작성자
아이본성형외과
작성일
06-18
조회
10
처음
1
페이지
2
페이지
열린
3
페이지
4
페이지
5
페이지
6
페이지
맨끝
검색
검색대상
제목
내용
제목+내용
글쓴이
글쓴이(코)
검색어
필수
검색
닫기
전화예약
분류
눈성형
지방이식
스킨케어
안면윤곽
안티에이징
기타
개인정보 수집 및 이용에 동의